Home
Meet Our Doctor
Services
Cosmetic Dentistry
Dental Bonding
Invisalign® Clear Aligners
Porcelain Dental Veneers
Teeth Bleaching
General Dentistry
Dental Exams
Fillings
Digital X-Rays
Night Guards
Root Canal Therapy Using Rotary Endodontics
TMJ Treatment
Periodontics
Restorative Dentistry
Dental Implants
Full-Mouth Reconstruction
Implant Crowns
Full Porcelain Dental Bridges
Porcelain Crowns
Patient Resources
Financial Options
Patient Forms
Special Offers
Reviews
Gallery
Contact Us
Review
Directions
Call Us
Need an Appointment? Have Questions?
40 Railroad Ave., Second Floor, Glen Head, NY 11545
516-671-5641
Need an Appointment? Have Questions?
Home
Meet Our Doctor
Services
Cosmetic Dentistry
Dental Bonding
Invisalign® Clear Aligners
Porcelain Dental Veneers
Teeth Bleaching
General Dentistry
Dental Exams
Fillings
Digital X-Rays
Night Guards
Root Canal Therapy Using Rotary Endodontics
TMJ Treatment
Periodontics
Restorative Dentistry
Dental Implants
Full-Mouth Reconstruction
Implant Crowns
Full Porcelain Dental Bridges
Porcelain Crowns
Patient Resources
Financial Options
Patient Forms
Special Offers
Reviews
Gallery
Contact Us
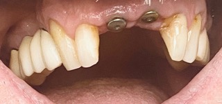
Before and After Gallery
Implant Restoration of teeth 8 & 9
Full Arch Restoration with Upper Bridge
Patient Reviews
Hours
Day
Hours
Monday
9:30 a.m. - 6:00 p.m.
Tuesday
11:00 a.m. - 7:00 p.m.
Wednesday
9:30 a.m. - 6:00 p.m.
Thursday
9:30 a.m. - 5:00 p.m.
Friday
9:00 a.m. - 2:00 p.m.
Saturday
Closed
Sunday
Closed
Need an appointment? Have questions?